Timely Diagnosis and Precise Action – The Need of the Hour...
Sepsis is when the body reacts extremely to an infection and can quickly escalate into a life-threatening situation causing multiple organ failures. It affects...
Zolmitriptan Derivatives and Novel Drug Delivery Systems Aim to treat Acute Migraine
Migraine is a genetic predisposition to moderate-to-severe headaches caused due to stress, physiological factors such...
Robotic Exoskeletons and Stem Cells offer hope to Paraplegics
Paralysis is a widespread disability that affects 1.7 percent of Americans, with over 5,357,970 people...
Can Cara Therapeutics buck the trend?
Cara Therapeutics (NASDAQ: CARA) recently posted its first quarter, 2019 results. The company reported a...
Emerging Therapeutics for Dry Eye Syndrome seek to hit the bull’s eye
Dry Eye Syndrome is characterized by the inability to produce sufficient amount or quality of...
The Emerging Paradigm in HIV Therapeutics Offers Hope for a Cure
Human Immunodeficiency Virus (HIV) compromises the body’s immunity by attacking CD4 cells (a type of...
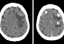
5 COMPANIES RESHAPING THE BRAIN METASTASES TREATMENT INDUSTRY
Metastatic brain tumor, also known as secondary cancer, is the most common brain tumor in...
VIDEOS
CANNABIS
Building a Retail Empire – One Store at a Time!
There is never a dull day in the Cannabis Industry!
Each day brings news of consolidations, expansions and diversification of established as well new entrants...
- Advertisement -
MOST RECENT
MOST VIEWS
New therapeutics promise respite to patients suffering from COPD
Chronic Obstructive Pulmonary Disease (COPD) is a progressive and irreversible degeneration of the lungs which is characterised by difficulty in breathing and poor airflow...
TECHNOLOGY
The Augmented Reality Company is on a roll with Major Deals in the Sports...
Imagination Park Technologies Inc. (CSE: IP) (OTCQB: IPNFF), an augmented reality (AR) platform, announced that it has acquired XenoHolographic. The transaction involved the transfer of 6,915,600 million shares to Interknowlogy, in exchange for 100% of XenoHolographic, including intellectual property and patents. XenoHolograpic is a developer of cloud based software tools that integrate augmented reality to deliver holographic interactions.
There is a...
Parcel Pal Technologies – On the Quick Road to Success
ParcelPal Technologies (CNSX: PKG) (OTCPK: PTNYF), a Canadian on-demand local delivery service provider, announced the completion of a major milestone of delivering over 2,500,000 packages to date. The company is disrupting the local delivery business by using cutting edge technology, that connects customers and businesses, through an algorithm that allows them to shop and get goods delivered within an...
Will Apple’s revolutionary approach herald a new era for the Credit Card Industry?
On April 3, 1973 Martin Cooper, an engineer working for Motorola and credited with the invention of cell phone, made the first public cellphone call. 10 years after that first call, Motorola introduced DynaTAC phone for public use in 1984, after being approved by the U.S. Federal Communications Commission. The company believed that cellphones would "absolutely not" replace standard...
Tech Giants Takes a Big Leap In Artificial Intelligence
Artificial intelligence (AI) - technology that thinks and makes decisions like a human - isn’t a new concept. The world's first exploratory steps in AI - were built in the mid-20th century. However, with advancements to democratize AI and use it for good, nearly every business started believing in this technology and technique in 2016. According to a recent...
Maxar Technologies – Stock took a beating despite of positive news, here’s why!
Shares of Maxar Technologies (NYSE: MAXR) rose by almost 28% on May 23, before plunging 10%, summing up what turned out to be a rollercoaster week for its stock. The jump in the stock was due to the news that it was chosen to build and perform a spaceflight demonstration of the lunar Gateway’s power and propulsion element spacecraft by the...
- Advertisement -
MOST COMMENTS
New therapeutics promise respite to patients suffering from COPD
Chronic Obstructive Pulmonary Disease (COPD) is a progressive and irreversible degeneration of the lungs which is characterised by difficulty in breathing and poor airflow...
- Advertisement -
OLDER POSTS
- All
- Asset Managers
- Biotechnology
- Cannabis
- Clinical Trials
- Cultivation
- Disruptive
- Expansion
- Expansion
- Expansion
- FDA
- Featured
- Funding
- IND
- Industry
- Investment Banks
- IOT
- Licensing
- Menu Client
- Menu Services
- Miscellaneous
- NDA
- Partnership
- Patent
- Private Companies
- Public Companies
- Results
- Retail
- Startups
- Tech
- Technologies
- Trending
- Videos
More
LAST 7 DAYS POSTS
- Advertisement -















![The Future of Hepatitis-B Treatment [ MUST WATCH ]](https://new.aviseanalytics.com/wp-content/uploads/2019/08/maxresdefault-1-218x150.jpg)
![A Future without Chronic Pain [MUST WATCH]](https://new.aviseanalytics.com/wp-content/uploads/2019/08/maxresdefault-218x150.jpg)
![Rising Problems & Innovations in the Treatment of Stroke – [Health Matters]](https://new.aviseanalytics.com/wp-content/uploads/2019/08/sddefault-218x150.jpg)
















![The Future of Hepatitis-B Treatment [ MUST WATCH ]](https://new.aviseanalytics.com/wp-content/uploads/2019/08/maxresdefault-1-324x160.jpg)
![A Future without Chronic Pain [MUST WATCH]](https://new.aviseanalytics.com/wp-content/uploads/2019/08/maxresdefault-324x160.jpg)
![Rising Problems & Innovations in the Treatment of Stroke – [Health Matters]](https://new.aviseanalytics.com/wp-content/uploads/2019/08/sddefault-324x160.jpg)









